Patientfall
Här kan du se några av våra patientfall, läsa mer och kontrollera resultatet efter behandlingen.

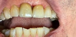
Estetiska lagningar

Estetik behandling före

Estetik behandling efter
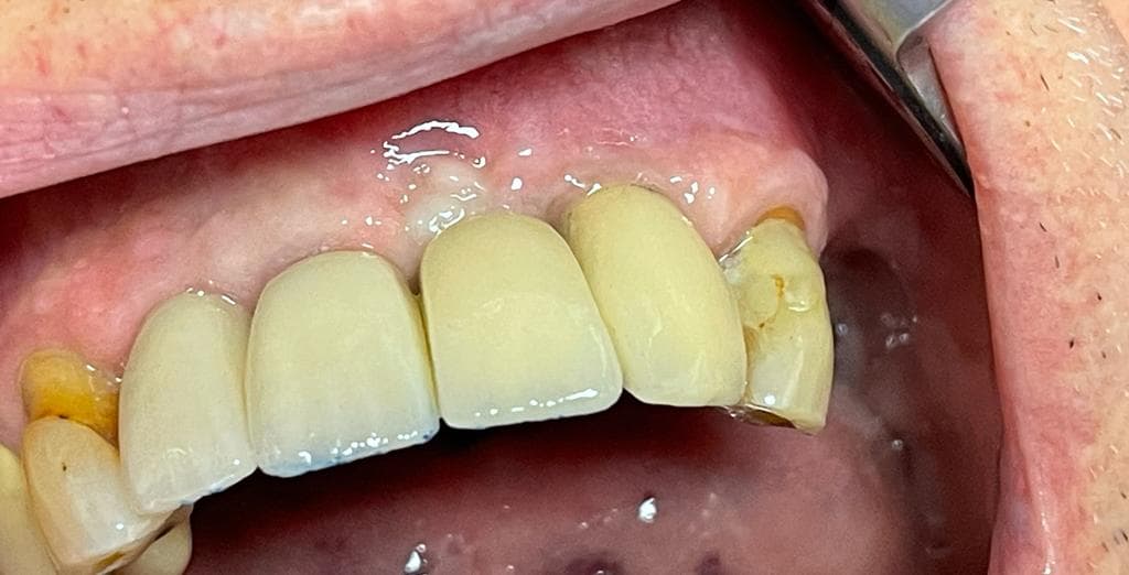
Implantat 14,15

Implantat behandling överkäken regio 14 15 – Straumann implantat system

Implantat behandling avtryckstagning
Estetiska lagningar

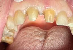
Estetiska lagningar tandborstningsskador överkäken efter

Tandborstningsskador överkäken före
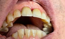
Implantat 3 tänder i fronten

Implantat behandling fronttänder – Straumann implantat system

Implantat behandling fronttänder – Straumann implantat system
Estetiska kronor i fronten överkäken zirkonium kronor






Zirconium bro vänster sidan överkäke och underkäke

Före och efter behandling med zirconium bro i vänster sidan av överkäke och underkäke.